Clasificamos las plantas en árboles, arbustos o hierbas; para cada una se muestra una breve descripción, su ecología y distribución en Andalucía Oriental, época de floración, qué tipo de polen liberan, su potencial alergénico y cómo conocer el periodo de máxima incidencia polínica en la atmósfera.
Las gramíneas son en su mayoría de porte herbáceo, perennes o anuales. Los tallos suelen ser cilíndricos y huecos, y cuando presentan ramificaciones las tienen a nivel del suelo, extendidas lateralmente con rizomas subterráneos o estolones superficiales. Las hojas son liguladas, diferenciadas en vaina y limbo, de tamaño muy variable que puede oscilar entre pocos milímetros hasta varios metros. Las flores son hermafroditas y se agrupan en unas estructuras denominadas espiguillas que a su vez se reúnen en espigas o panículas. Fruto en cariópside.
Se trata de una familia cosmopolita que domina en cualquier formación vegetal terrestre, siendo además una de las más importantes a nivel económico. En nuestra área de estudio se han catalogado más de 230 especies que presentan una gran amplitud ecológica, localizándose en cualquiera de los ecosistemas que forma la vegetación natural, como pastizales, bordes de corrientes de aguas y matorrales o colonizando medios ruderalizados, como márgenes de caminos, cultivos, campos abandonados, alrededores de medios urbanos, etc. En los cultivos de cereales son frecuentes la avena, el trigo y la cebada; el maíz es la especie que predomina en las zonas de regadío, el esparto en clima subdesértico y las cañas en la costa.
Al tratarse de un grupo muy extenso, podemos encontrar especies en floración a lo largo de todo el año. No obstante, la mayoría de las gramíneas de nuestra zona de estudio florecen desde marzo hasta julio.
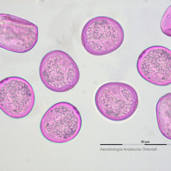
Polen monoanaporado, heteropolar, radiosimétrico; circular en visión polar; de circular a ligeramente elíptico en visión ecuatorial; esferoidal. Tamaño de pequeño a mediano, a veces grande (D=16-47 micras). Abertura simple de tipo poro, de 2-4 micras de diámetro, situada en el polo distal, con opérculo. Exina de 1-1,5 micras de grosor, con sexina más gruesa que la nexina, aunque ésta se engrosa en las proximidades de la apertura para formar un anillo. Superficie granulosa, a veces rugulada.
Se considera al polen de las gramíneas como la principal causa de alergia en Europa. En España presenta una incidencia muy elevada entre la población atópica y en Andalucía se estima que más de la mitad de los enfermos por polinosis presentan síntomas a causa de este polen. En Granada, el polen de gramíneas es la segunda causa de polinosis, presentando en ciudades como Baza, Órgiva o Iznalloz porcentajes próximos al 60%; entre la población infantil de Granada, el polen de las gramíneas también es el segundo motivo de alergia, con más del 50% de los casos testados. Los datos obtenidos en Jaén revelan que alrededor del 75% de los pacientes estudiados presentan sensibilización exclusiva a este polen o bien de forma compartida con otros. Por el contrario, en Almería ocupa el cuarto lugar en cuanto a su alergenicidad, estimándose que provoca el 36% de las sensibilizaciones debidas al polen.
Este polen se encuentra en el aire prácticamente durante todo el año; sin embargo, presenta un período de mayor incidencia entre los meses de marzo y julio. A partir del mes de marzo es cuando este polen comienza a ser constante en los muestreos aerobiológicos, logrando los máximos niveles en los meses de mayo y junio. Las altas temperaturas que se alcanzan en julio provocan que su presencia en el aire sea cada vez menos frecuente, siendo a partir de entonces cuando su aparición es intermitente, hasta desaparecer casi por completo en el otoño. Granada y Jaén presentan valores muy importantes de polen de gramíneas durante la primavera, mientras que en Almería su presencia en el aire es más discreta.
La presencia y cantidad de polen en el aire dependen de la zona de estudio. Visita la sección de “gráficos” en cada una de las estaciones de muestreo para conocer cuándo se produce el periodo principal de polinización.
Fichas por especie que muestran el nombre común y científico, el periodo de floración, el tipo y potencial alergénico del polen.